GW Medicine's Center for Minimally Invasive Treatments for Thyroid Disease

Welcome to GW Medicine’s Center for Minimally Invasive Treatment for Thyroid Disease, a multidisciplinary team dedicated to offering the full breadth of available thyroid treatments. We are uniquely capable, as a team—Dr. Salem Noureldine, endocrine surgeon, and Dr. Chelsey Baldwin, medical endocrinologist and thyroidologist—to offer state-of-the-art techniques to achieve patient-tailored care for thyroid disease.

What Minimally Invasive techniques are offered at GW Medicine’s Center for Minimally Invasive Treatment for Thyroid Disease? 

  Ethanol Ablation is a well-studied technique for the treatment of symptomatic nodules that are predominantly cystic. Ethanol ablation is a simple outpatient procedure that can significantly shrink cystic thyroid nodules allowing for relief of symptoms and avoidance of surgery. 

ethanol ablation

Ethanol Ablation: A cosmetically bothersome left –sided predominantly cystic nodule (A) Initial ultrasound evaluation (B) following simple aspiration (C) Reaccumulation of cystic fluid, typical following simple aspiration (D) Immediately changes following ethanol ablation (E) sustained benefit of ethanol ablation.

  Radiofrequency Ablation (RFA) is a modern, minimally invasive technique used to treat benign thyroid nodules, autonomous (functional) thyroid nodules, and select thyroid cancers. It utilizes high-frequency electrical currents to generate heat, which precisely targets and reduces the size of thyroid nodules without the need for traditional surgery.  

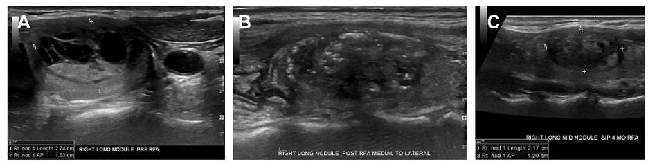
Radiofrequency Ablation

Radiofrequency Ablation: Right sided nodule (A) before RFA (B) immediately post-RFA demonstrating classic ultrasonographic changes (C) 4- months post – RFA demonstrating clinically significant volume reduction. 


 

Benefits of RFA for Thyroid Nodules: A Patient-Centered Approach

patient talking to doctor
  • Minimally Invasive: RFA is performed using a thin probe, which means no large incisions are necessary, resulting in minimal scarring and a quicker recovery.

  • Outpatient Procedure: RFA treatments are completed in an outpatient setting, allowing you to return home the same day.

  • Quick Recovery: Patients typically experience a swift recovery, with many resuming normal activities within a few days.

  • Preservation of Thyroid Function: Unlike more invasive surgeries, RFA aims to preserve the surrounding healthy thyroid tissue, maintaining thyroid function.

  • Symptom Relief: RFA effectively reduces nodule size, alleviating symptoms such as pressure, discomfort, or aesthetic concerns.

 

What Thyroid Conditions do we treat? 

Symptomatic Benign Thyroid Nodules

Most thyroid nodules are benign. However, even benign nodules can be problematic for some patients. Nodules that are large can cause symptoms like fullness, positional discomfort, difficulty swallowing or speaking, and cosmetic concerns. Some benign nodules show a trajectory of continued growth and patients would like to intervene to prevent further complications or future need for surgical intervention. Radiofrequency ablation is effective at reducing the size of thyroid nodules, alleviating symptoms and preventing the need for surgical intervention, all while preserving thyroid function.

Autonomous (Functional) Thyroid Nodules

A subset of benign thyroid nodules can over produce thyroid hormone which can lead to overactive thyroid (hyperthyroidism). Many patients with autonomous (functional) thyroid nodules will require treatment to normalize thyroid hormones which can include lifelong medication, radioactive iodine, or surgery. RFA offers an additional option to patients who may wish to avoid medication or surgery for the management of their autonomous (functional) thyroid nodules.

Select Thyroid Cancer

In the appropriately selected patients, RFA can offer an alternative method for managing low-risk papillary thyroid cancers. Patients have historically been offered surveillance or surgery for the management of thyroid cancer. However, radiofrequency ablation has been shown to be an effective thyroid-sparing alternative for the management of select thyroid cancers.


Patient Experience: What to Expect 

Consultation 

Your journey begins with a comprehensive consultation, where you will discuss your medical history, symptoms, and treatment goals. Request your consultation below.

Procedure  

During the RFA session, a local anesthetic is administered to ensure your comfort. Using ultrasound guidance, the RFA probe is precisely positioned to target the thyroid nodule. 

Post-Procedure Care 

After the procedure, you will be monitored briefly before being discharged. Detailed aftercare instructions will be provided to support a smooth recovery. In the year following the procedure, your physician will monitor your treatment response with clinical and ultrasonographic evaluations.

 

Choosing GW Medicine’s Minimally Invasive Treatment Center for Thyroid Disease


GW’s Minimally Invasive Treatment Center for thyroid Disease is headed by Dr. Chelsey Baldwin, medical endocrinologist and thyroidologist, and Dr. Salem Noureldine, endocrine surgeon. The center’s mission is grounded in the commitment of delivering personalized care tailored to your needs. Our state-of-the-art facilities and patient-focused approach ensure that you receive the highest standard of care throughout your treatment journey.


Meet our Providers 

Chelsey Baldwin

Chelsey Baldwin, MD

Dr. Chelsey Baldwin is a board-certified endocrinologist with expertise in thyroidology and 2024 Washingtonian Top Doctor. As an endocrinologist, Dr. Baldwin is attuned to the interplay of hormonal health and thyroid structural disease. Dr. Baldwin first began performing radiofrequency ablation in 2020, one of the early adopters in the United States. Dr. Baldwin is internationally recognized for her expertise in minimally invasive techniques for thyroid disease and a frequent invited speaker at national conferences and academic centers. She is a peer instructor for radiofrequency ablation courses taught at the North American Society for Interventional Thyroidology, American Thyroid Association, and Society for Interventional Radiology.  Dr. Baldwin publishes on the topic of radiofrequency ablation and currently serves as the co-chair of Guidelines and Statement Committee for the North American Society for Interventional Thyroidology. Dr. Baldwin’s clear communication style and technical expertise allow patients to select the best treatment option for their individual goals.

Dr. Baldwin speaking into a microphone
Dr. Chelsey Baldwin speaking at the 2nd International Meeting on Ultrasound-Guided Minimally Invasive Therapies.
Dr. Chelsey Baldwin performing in office radiofrequency ablation.
Dr. Chelsey Baldwin performing in office radiofrequency ablation.
Salem Noureldine

Salem I. Noureldine, MD, FACS

Dr. Salem I. Noureldine is a dedicated and high-volume Endocrine Surgeon, and a recurrent Washingtonian Top Doctor. His clinical expertise encompasses the treatment of benign, functional, and malignant disorders of the thyroid, parathyroid, and adrenal glands. He offers both conventional and minimally invasive options to include robotic surgery and radiofrequency ablation when appropriate. Dr. Noureldine has always had a particular interest in the study and application of disruptive noninvasive and emerging technologies such as “scarless” robotic surgery, thermal ablation of benign and malignant thyroid nodules, and fluorescence-guided surgery.

Dr. Noureldine is an accomplished and expert academic endocrine surgeon, having authored thyroid cancer guidelines from the American Head and Neck Society, over 75 peer-reviewed scientific papers, multiple textbook chapters, and served as an editor for several textbooks and review series. He has presented his research at numerous national and international scientific meetings. His work, which has been cited upwards of 3,000 times by the scientific society, on molecular markers, improving surgical outcomes, management of hyperparathyroidism, and exploring novel ablative techniques of endocrine pathologies has helped the medical field tailor and personalize treatment for patients with these conditions.

Dr. Noureldine practices in Washington, DC, and Northern Virginia, with locations in Reston and Alexandria. Dr. Noureldine holds operative privileges at the George Washington University Hospital, Virginia Hospital Center Health System, and Reston Hospital Center.

Dr. Salem I. Noureldine performing minimally invasive thyroid surgery.
Dr. Salem I. Noureldine performing minimally invasive thyroid surgery.
Dr. Salem I. Noureldine speaking at the Central Surgical Association annual meeting.
Dr. Salem I. Noureldine speaking at the Central Surgical Association annual meeting.

 Patient Resources: